강아지 구토 증상

1. 강아지가 토하는 이유는 뭘까?
강아지의 구토는 건강 상태를 알리는 신호등과도 같아요. 소화불량, 위장질환, 바이러스 감염, 기생충, 스트레스 등 다양한 원인이 존재합니다. 일부는 단순한 일시적 현상이지만, 반복되거나 동반 증상이 있다면 병의 신호일 수 있습니다.
2. 구토와 역류의 차이점
둘 다 비슷해 보이지만 엄연히 다릅니다. 역류는 대개 식사 직후 소화되지 않은 음식을 되뱉는 행동이고, 구토는 복부 근육의 수축을 동반한 행위입니다. 구토 시에는 침, 거품, 노란 담즙 등이 함께 나올 수 있어요.
3. 정상적인 구토 vs 위험한 구토

강아지도 가끔은 자연스럽게 토할 수 있어요. 이물질을 뱉거나 공복 상태에서 노란 담즙을 뱉는 경우가 이에 해당합니다. 하지만 하루에 2회 이상 반복되거나, 피나 이물질이 섞여 나올 경우, 무기력, 식욕저하가 동반된다면 반드시 병원 진료가 필요합니다.
4. 색깔로 알아보는 구토 종류
- 노란색: 공복 구토, 담즙
- 흰 거품: 위장 자극, 위염 가능성
- 초록색: 담즙 역류 또는 중독 의심
- 갈색: 피 섞인 구토 (내부 출혈 의심)
- 붉은색: 혈액 혼합, 응급상황!
색깔은 내장의 상태를 간접적으로 알려주는 신호예요.

5. 음식 섭취 후 구토, 단순 과식일까?
밥을 너무 빨리 먹거나 많이 먹으면 소화기에 부담이 가죠. 이로 인해 토할 수 있어요. 하지만 이것이 반복된다면 음식 알레르기나 사료 문제가 있을 수도 있으니, 사료 교체나 급여량 조절이 필요합니다.
6. 위염·장염이 원인일 경우
강아지도 스트레스를 받거나 기생충, 세균 감염으로 인해 위염이나 장염에 걸릴 수 있어요. 설사와 함께 구토가 동반되면 염증성 질환 가능성이 높습니다. 조속한 치료가 중요합니다.
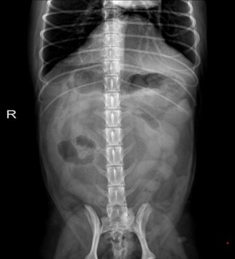
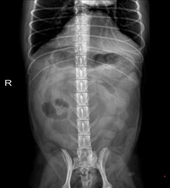
7. 이물질 삼킴으로 인한 구토

장난감 조각, 뼈 조각, 플라스틱 같은 이물질을 삼켰을 경우 몸이 그것을 배출하려고 구토를 유도합니다. 이때는 억지로 빼려 하기보다는 병원에서 X-ray 촬영이 필요합니다.
8. 구토와 함께 나오는 증상들
- 무기력함
- 식욕부진
- 설사
- 탈수 증상 (잇몸이 끈적이거나 피부탄력 감소)
- 복부 팽만감
이런 증상이 함께 나타난다면 단순 구토 이상일 수 있어요.

9. 반복 구토가 주는 경고 신호
하루에 여러 번 토하고, 며칠째 반복된다면 만성 위장질환, 췌장염, 간·신장 질환, 심지어 종양 가능성도 배제할 수 없습니다. 반복적 구토는 '몸 안에 이상이 있다'는 SOS 신호입니다.
10. 응급처치, 이렇게 하세요!
- 6시간 정도 음식물은 금식 (단, 물은 소량 제공)
- 토한 내용물은 사진 찍어 기록해두기
- 잇몸 색, 체온, 호흡 확인하기
- 토한 장소는 깨끗이 소독

하지만 24시간 이상 지속 시엔 지체 없이 병원행입니다.
11. 구토 시 병원에 데려가야 할 때는?
- 피가 섞인 구토
- 식욕이 완전히 없음
- 설사와 동반
- 숨이 차거나 눈에 띄게 힘들어 함
- 구토가 하루 이상 계속될 때

이런 경우는 단순한 문제가 아닐 수 있으니 빠른 조치를 취해야 합니다.
12. 수의사 상담 시 꼭 전해야 할 정보
- 구토 시작 시기와 횟수
- 구토의 색상과 냄새
- 사료나 간식 변경 여부
- 최근 스트레스 요인
- 다른 반려동물과의 접촉 유무
정확한 진단을 위해선 정보 공유가 생명입니다.
13. 예방을 위한 사료 급여 요령
- 급하게 먹지 않도록 식사 속도 조절 (슬로우 피더 추천)
- 일정한 시간에 정해진 양 급여
- 낯선 간식, 음식은 천천히 소량 도입
구토는 식습관에서도 예방할 수 있다는 것, 잊지 마세요.

14. 구토하는 강아지를 위한 식이관리
- 기름기 적고 소화 잘 되는 사료로 변경
- 닭가슴살+쌀죽 같은 부드러운 음식 제공
- 물은 자주, 소량씩 자주 주기
음식은 약만큼 중요하다는 말, 반려견도 예외는 아닙니다.
15. 반려인의 마음가짐, 가장 중요합니다

강아지가 아플 때 가장 먼저 느끼는 건 보호자의 반응입니다. 불안해하지 말고 침착하게 대응해주세요. 우리의 걱정은 그대로 강아지에게 전달되니까요.
✅ 결론
강아지의 구토는 단순할 수도 있지만 심각한 질병의 전조일 수도 있어요. 색깔, 횟수, 동반 증상을 잘 관찰하고 필요한 경우 병원을 찾아야 합니다. 예방은 식사 습관부터 시작되고, 보호자의 관심이 가장 큰 치료제랍니다. 사랑하는 우리 반려견, 무심코 지나치지 말고 매일 살펴보는 습관을 들여보세요.
❓ 자주 묻는 질문 (FAQs)

1. 강아지가 하루에 한 번 토했는데 괜찮을까요? 일회성 구토라면 일시적인 현상일 수 있어요. 하지만 하루에 두 번 이상, 혹은 무기력함이 동반되면 병원을 권합니다.
2. 흰색 거품을 토하면 병원에 가야 하나요? 흰 거품은 위산 자극일 수 있지만, 반복된다면 위염 또는 감염 가능성이 있으니 진료를 받는 게 안전합니다.
3. 공복 상태에서 구토를 자주 해요. 왜 그런가요? 공복 시간이 길면 담즙이 역류해 노란 토를 할 수 있어요. 식사 횟수를 나눠주는 게 도움이 됩니다.
4. 구토 시 어떤 음식을 주면 좋을까요? 기름기 없는 닭가슴살, 흰 쌀죽 등이 위에 부담을 줄일 수 있습니다. 하지만 증상이 심하면 금식 후 병원 상담이 먼저입니다.
5. 강아지가 토했는데 활발해요. 병원에 안 가도 되나요? 활발하더라도 구토가 반복되면 원인 파악이 중요합니다. 증상이 경미해 보여도 수의사 상담은 추천드립니다.
당신의 강아지가 건강하길 진심으로 바랍니다. 🐶❤️
